In primo piano
Ultime novità
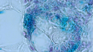
Nei battiti del cuore un'arma contro i tumori
Contrazioni ne frenano crescita. Verso nuove cure anche per altre neoplasie
Ormoni 'registi' della salute, 30% delle malattie croniche per squilibri evitabili
Da diabete a infertilità, osteoporosi, tiroiditi e tumori. Ma un italiano su 2 non lo sa
Alimenti sicuri ma irregolarità nello 0,7% dei controlli, il rapporto del minsitero
Preoccupano soprattutto sostanze per far durare più a lungo carne e pesce
Nave della salute Italia-Albania, prevenzione a bordo con visite e test gratuiti
Nave della salute Italia-Albania, prevenzione a bordo con visite e test gratuiti
Boom di botox e filler, in Italia trattamenti raddoppiati in un anno
Oltre 760mila procedure nel 2024. Dermatologi, 'atti medici, serve formazione specifica'
E' la precarietà economica e lavorativa ad alimentare i populismi in Europa
L'analisi di una sociologa italiana a Cambridge
Nelle stelle morenti scoperto un cuore magnetico fossile
Un residuo della vita adulta, può aiutare a capire il destino del Sole
Salmoni 'alterati' dalla cocaina nelle acque, si muovono di più
Primo studio in natura. Possibili conseguenze per l'ecosistema
Premiere League, il Var ribalta le decisioni arbitrali nel 95% dei casi
Nessuna influenza esterna ma meglio spostare il monitor nel tunnel
Asi, 'saranno due gli astronauti italiani sulla Luna'
Il presidente Valente: 'il modulo abitabile per il suolo lunare un gioiello tecnologico'
SpaceX lancerà il rover europeo per la missione ExoMars
Sarà probabilmente il primo lancio dell'azienda di Musk verso Marte
Una sola mano dietro l'imponente dipinto del Battesimo di Cristo
Lo suggerisce una nuova tecnica basata sull'Intelligenza Artificiale
Dagli animali alle canzoni, la comuncazione segue un ritrmo universale
Sulla stessa frequenza di 2 hertz
Nuova prova che le aragoste provano dolore, rispondono ai farmaci
Dai ricercatori appello per metodi di uccisione meno traumatici
Nello spazio gli spermatozoi perdono l'orientamento
Dubbi sulla possibilità di fare figli nelle colonie spaziali
Marmolada, georadar e droni per sorvegliare il ghiacciaio di Punta Penia
Si prevede di estendere le stesse tecnologie sull'Adamello
Addio a Desmond Morris, l'etologo della 'scimmia nuda'
Aveva 98 anni, fra i primi a studiare gli esseri umani da un punto di vista zoologico
Una ricerca del Cnr di Venezia trova il bromato sulla neve delle Svalbard
Studio migliora la comprensione della chimica dell'ozono nelle regioni polari
La sonda Voyager 1 spegne un altro strumento per risparmiare energia
In estate l'operazione 'Big Bang' per prolungare la missione
Per la sonda Juice incontro fuori programma con la cometa 3I/Atlas
Accesi i suoi strumenti durante il viaggio verso Giove e le sue lune
Da diari e alberi antichi gli indizi sul meteo spaziale di 8 secoli fa
Le attuali missioni verso la Luna rendono fondamentale la comprensione di questi eventi
Una galassia di 8 miliardi di anni fa sfida le teorie astrofisiche
Lo studio guidato da Inaf e realizzato anche grazie al Telescopio Nazionale Galileo
Gli uccelli marini rivelano la distribuzione del mercurio negli oceani
Livelli più alti nel nord dell'Atlantico e del Pacifico, albatri e berte tra i più colpiti
Detergente naturale elimina fino al 96% di pesticidi da frutta e verdura
Forma anche un rivestimento protettivo e commestibile che migliora la conservazione
Terapie geniche e nuova fisica, assegnati gli Oscar della scienza
I Breakthrough Prize, del valore di 3 milioni di dollari ciascuno. Quest'anno sono sei.
Un'aureola di nuvole per la Luna sopra le cime delle Dolomiti
Catturata dall'astrofotografa italiana Alessandra Masi
Terzo volo per il razzo New Glenn di Blue Origin, riuscito a metà
Il 1° stadio è atterrato correttamente, ma il satellite è stato sganciato in orbita errata
Mini-isole di fegato fatte crescere con successo nei topi
Tecnica innovativa grazie alla biologia sintetica
Stoccaggio dell'idrogeno tra Terra e spazio, presentato Hydragraph
L'energia del futuro nasce all'università 'D'Annunzio', progetto da 2,5 milioni di euro
Space Rider, superato il test di impatto con un micrometeorite
Il flap ha resistito per 600 secondi a 1200C con un foro di 1cm
Nuova manovra di correzione dell'orbita per la Stazione Spaziale
Eseguita grazie alla navetta cargo russa Progress 93 che ha acceso i motori per 5 minuti
Compie 25 anni la mappa che ha rivoluzionato la lotta ai tumori
Bardelli (Ifom): da un insieme di dati disorganizzati a un principio unico